Cone-beam CT-scanner – Planmed XFI®
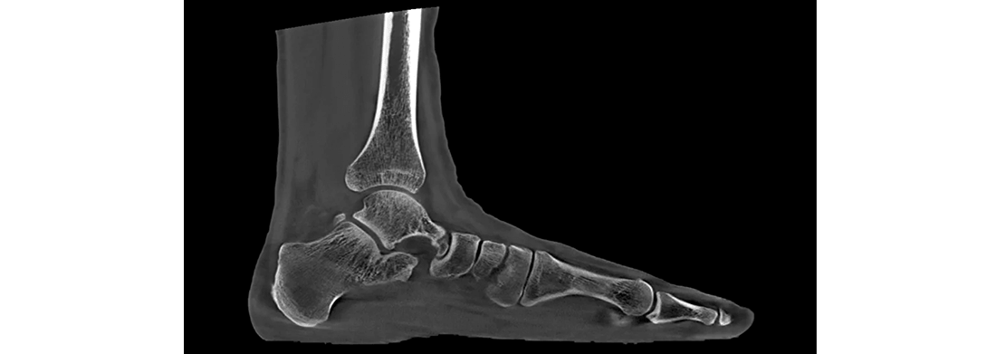
Planmed XFI is een geavanceerd cone-beam CT (CBCT) systeem dat volledige 3D-beeldvorming van het lichaam mogelijk maakt, van hoofd tot voeten. Het systeem ondersteunt zowel staande (weight-bearing) als liggende (supine) scans, waardoor artsen het bewegingsapparaat kunnen evalueren in een natuurlijke functionele positie.
Deze innovatieve technologie biedt een uitgebreid field of view, ultra-hoge resolutie en lage stralingsdoses, waardoor het systeem bijzonder geschikt is voor orthopedische en musculoskeletale diagnostiek.
Omschrijving
3D-beeldvorming van hoge kwaliteit van het volledige lichaam
De Planmed XFI beschikt over een grote opening van 85 cm en een breed flat-panel detector-systeem. Tijdens de scan roteert de röntgenbron en detector 360° rond het lichaam, waardoor gedetailleerde 3D-beelden van de volledige anatomie worden verkregen.
Het systeem levert ultra-hoge resolutie beelden tot 75 micron, wat zorgt voor uitzonderlijke beeldkwaliteit en diagnostische precisie.
Belangrijkste kenmerken:
- Volledige 3D-beeldvorming van het hele lichaam
- Scannen in staande (weight-bearing) en liggende positie
- 85 cm gantry opening voor patiëntcomfort
- Groot field of view (FOV) voor volledige anatomische visualisatie
- Ultra-hoge resolutie tot 75 µm
- 360° rotatie voor nauwkeurige volumetrische beeldvorming
Beeldvorming met lage stralingsdosis en optimale beeldkwaliteit
Bij 3D-beeldvorming is het belangrijk om diagnostische kwaliteit te combineren met een zo laag mogelijke stralingsdosis. Dit is vooral relevant bij jonge patiënten, die gevoeliger zijn voor straling.
De Planmed XFI ondersteunt het ALADA-principe (As Low As Diagnostically Acceptable), waarbij de stralingsdosis tot een minimum wordt beperkt zonder diagnostische waarde te verliezen.
Met het Planmeca Ultra Low Dose™ protocol kan de effectieve patiëntdosis nog verder worden verlaagd dankzij intelligente 3D-reconstructie-algoritmes, terwijl de beeldkwaliteit behouden blijft.
Voordelen van 3D weight-bearing beeldvorming
Toepassingen




